ಪುತ್ತೂರು : ಪೊಲೀಸ್ ದೌರ್ಜನ್ಯ ಸಂದರ್ಭ ಕಿವಿಯ ತಮಟೆಗೆ ತೀವ್ರ ಹಾನಿಯಾಗಿದೆ ಎಂಬ ವರದಿ ಹೊರಬಿದ್ದಿದ್ದು, ಈ ಬಗ್ಗೆ ಸ್ಕ್ಯಾನಿಂಗ್ ಪೋಟೋಗಳು ವೈರಲ್ ಆಗುತ್ತಿವೆ.
ವರದಿ ಹೊರ ಬರುತ್ತಿದ್ದಂತೆ ಹಿಂದೂ ಮುಖಂಡ ಅರುಣ್ ಕುಮಾರ್ ಪುತ್ತಿಲ ಎಸ್ಪಿಯನ್ನು ಭೇಟಿಯಾಗಿದ್ದಾರೆ.

ಬಿಜೆಪಿ ರಾಜ್ಯಾಧ್ಯಕ್ಷರಾದ ನಳಿನ್ ಕುಮಾರ್ ಕಟೀಲ್ ಹಾಗೂ ಮಾಜಿ ಮುಖ್ಯಮಂತ್ರಿ ಡಿವಿ ಸದಾನಂದ ಗೌಡರಿಗೆ ಚಪ್ಪಲಿ ಹಾರ ಹಾಕಿ ಶ್ರದ್ಧಾಂಜಲಿ ಬ್ಯಾನರ್ ಹಾಕಿದ್ದಾರೆ ಎಂದು ಒಟ್ಟು 11 ಜನರನ್ನು ಬಂಧಿಸಿ ಪೊಲೀಸರು ದೌರ್ಜನ್ಯ ನಡೆಸಿದರು ಎಂದು ವ್ಯಾಪಕ ಪ್ರಚಾರ ಪಡೆದುಕೊಂಡ ಪ್ರಕರಣ ಮತ್ತಷ್ಟು ತೀವ್ರ ಸ್ವರೂಪ ಪಡೆಯುವ ಲಕ್ಷಣ ಕಾಣುತ್ತಿದೆ.
ಡಿವೈಎಸ್ಪಿಗೆ ಒತ್ತಡ ಹಾಕಿಸಿ ಹಿಂದೂ ಕಾರ್ಯಕರ್ತರ ಮೇಲೆ ಡಿವೈಎಸ್ಪಿ ಕಚೇರಿಯಲ್ಲೇ ತೀವ್ರ ಹಲ್ಲೆ ನಡೆಸಲಾಗಿದೆ ಎಂಬ ಆರೋಪ ಕೇಳಿಬಂದಿತು.
ಮೇ.15 ರ ಮಧ್ಯರಾತ್ರಿ ಅರುಣ್ ಪುತ್ತಿಲ ಡಿವೈಎಸ್ಪಿ ಕಚೇರಿಗೆ ಹೋಗಿ ಹಲ್ಲೆಗೊಳಗಾದವರ ಮುಚ್ಚಲಿಕೆ ಬರೆದು ಬಿಡುಗಡೆಗೊಳಿಸಿಕೊಂಡು ಬಂದಿದ್ದರು. ನಂತರ ಹಲ್ಲೆಗೊಳಗಾದವರ ಆರೋಗ್ಯದಲ್ಲಿ ಏರುಪೇರಾದ ಕಾರಣ ಮತ್ತೇ ಆಸ್ಪತ್ರೆಗೆ ದಾಖಲಿಸಲಾಗಿತ್ತು.
ಘಟನೆ ರಾಜ್ಯ ಮಟ್ಟದಲ್ಲಿ ಸದ್ದು ಮಾಡುತ್ತಿದ್ದಂತೆ ಪುತ್ತೂರಿನ ಡಿವೈಎಸ್ಪಿ, ಸಂಪ್ಯ ಎಸ್ಐ , ಪುತ್ತೂರಿನ ಪೊಲೀಸ್ ಕಾನ್ಸ್ಟೆಬಲ್ ರ ಮೇಲೆ ಪ್ರಕರಣ ದಾಖಲು ನಡೆಸಿ, ಎಸ್ಐ ಮತ್ತು ಪಿಸಿಯನ್ನು ಅಮಾನತು ಮಾಡಿ, ಡಿವೈಎಸ್ಪಿಯನ್ನು ರಜೆಯಲ್ಲಿ ಕಳುಹಿಸಲಾಗಿದೆ.
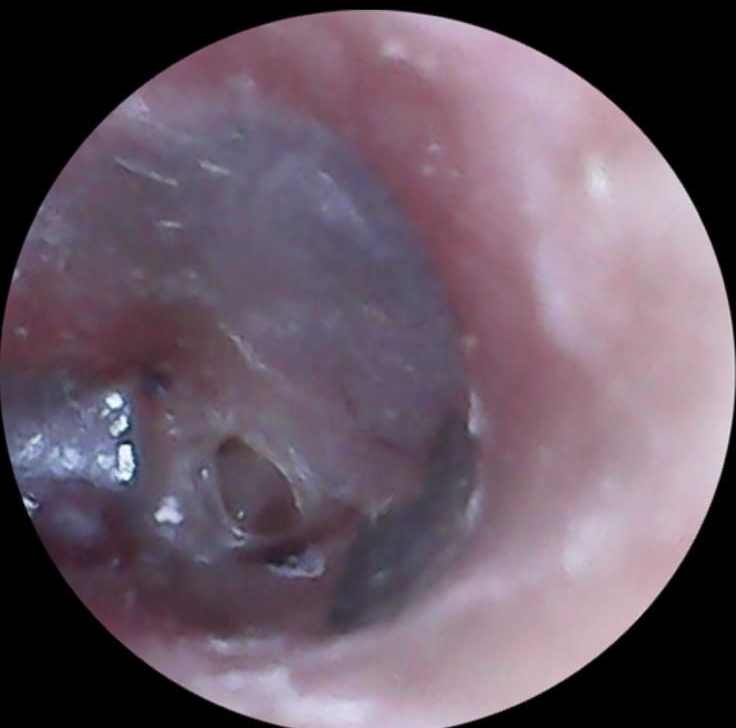
ತೀವ್ರ ಗಾಯಗೊಂಡ ಅವಿನಾಶ್ ರ ಕಿವಿ ನೋವು ಕಡಿಮೆಯಾಗದ ಕಾರಣ ಕಿವಿಯ ಸ್ಕ್ಯಾನಿಂಗ್ ಮಾಡಿದಾಗ ತಮಟೆ ಹರಿದ ಬಗ್ಗೆ ವೈದ್ಯಕೀಯ ವರದಿಯಲ್ಲಿ ಹೊರ ಬಂದಿದೆ. ಕೂಡಲೇ ದಕ್ಷಿಣ ಕನ್ನಡ ಎಸ್ಪಿ ವಿಕ್ರಂ ಅಮಾಟೆಯನ್ನು ಭೇಟಿಯಾದ ಅರುಣ್ ಕುಮಾರ್ ಪುತ್ತಿಲ ಎರಡು ದಿನದಲ್ಲಿ ಡಿವೈಎಸ್ಪಿಯನ್ನು ಅಮಾನತು ಮಾಡಬೇಕು ಮತ್ತು ಸಂತ್ರಸ್ತರಿಗೆ 5 ಲಕ್ಷದಂತೆ ಪರಿಹಾರ ನೀಡಬೇಕು ಎಂದು ಒತ್ತಾಯಿಸಿದರು. ಕ್ರಮ ಆಗದಿದ್ದರೆ ಬೃಹತ್ ಪ್ರತಿಭಟನೆ ನಡೆಸಲಾಗುವುದು ಎಂದು ಹೇಳಿದರು ಎಂದು ವರದಿಯಾಗಿದೆ.




























